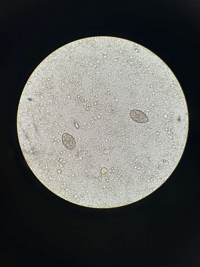
郊外の保護施設から譲り受けてきた、とても可愛らしいネコちゃん。「ずっと下痢が続いており、便と一緒に寄生虫が出てきた」とのことで来院されました。排泄された虫体(写真上)を拝見したところ、「マンソン裂頭条虫」と分かり、検便ではラグビーボール状の虫卵(写真上)が…。そこで、プラジクアンテルという駆虫薬を皮下注射することになりました。
この寄生虫、ミジンコの体内で発育し、それをオタマジャクシが捕食、成長したカエル(または、それを捕食したヘビ)をネコちゃんが口にすることで寄生します。つまり、中間宿主としてミジンコとカエル、またはヘビの存在が不可欠となります。
翌日から、このネコちゃんの体調は徐々に回復してきているそうですが、カエルやヘビに囲まれた凄まじい“ネコ生”を送って来たんですねー。(H.I.)
この寄生虫、ミジンコの体内で発育し、それをオタマジャクシが捕食、成長したカエル(または、それを捕食したヘビ)をネコちゃんが口にすることで寄生します。つまり、中間宿主としてミジンコとカエル、またはヘビの存在が不可欠となります。
翌日から、このネコちゃんの体調は徐々に回復してきているそうですが、カエルやヘビに囲まれた凄まじい“ネコ生”を送って来たんですねー。(H.I.)
